
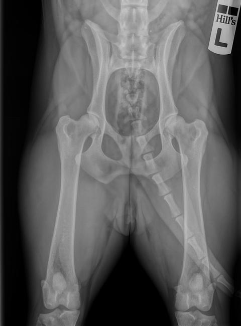
Gisteren ben ik naar de dierenarts geweest om mara haar heupen op de foto te laten zetten.. aangezien ik graag verder wilde in de behendigheid leek me dat een strak plan.. ook mara's broer heeft hd..
en ja hoor.. ik zag het meteen al (ik mocht mee de rontgen kamer in en Mara zelf vasthouden) dat de heupen er niet al te goed uitzagen..


De dierenarts classificeerde het tot een hd-b/hd-c. Behendigheid kon nog, zolang ik maar voorzichtig deed met de A-schutting enz.
Later gisteren avond belde de dierenarts terug.. hij heeft even met een orthopeed overlegd.. deze bevestigde zijn classificatie en raadde aan toch te stoppen met behendigheid/flyball. De dingen die Mara juist leuk vind.
In de gehoorzaamheid gaan we natuurlijk gewoon verder, maar na de beginnerscursus behendigheid denk ik er toch mee te stoppen, aangezien de gezondheid van mijn hond voor alles komt, hoe leuk ik het zelf ook vind..
Maar ik zit ook met schapen drijven.. dat is natuurlijk ook erg belastend voor haar..
Dus nu zit ik een beetje in de knoop met wat wel en wat niet doen,, het blijft een border collie..
Ze rent (drafje) vaak stukken naast de scootmobil, rechtlijnige bewegingen, dus dat kan geen kwaad en worden haar spieren sterk van. Ook loopt ze met mij vaak lange stukken los een beetje door alles heen te sprinten en te dollen met andere honden.
De dierenarts gaf ook aan dat ze nette sterke spieren heeft, ook kon hij de heupen niet zomaar uit de kom trekken/duwen maar hielden de spieren ze netjes vast ( ze was nog in het roesje dus tegenwerken deed ze niet).
Ik zit eraan te denken om met glucosamine te starten.. Mara krijgt al kivo/naturis en tussendoor vaak andere stukken vlees (geitennek, lamsrug, zalmkop weet ik het wat allemaal..) Dus calcium enz krijgt ze binnen..
heeft er verder nog iemand tips what to do?
Ik wil haar zo lang mogelijk pijnvrij houden.. de DA zei dat er nu nog geen medicatie nodig was zolang de voeding maar goed was voorzien.
Echt balen.. ik had het ergens al verwacht.. maar het is alsnog zo zuur
Dit komt doordat het onderwerp niet meer recent is en in het hondenforum archief terecht ik gekomen.
Als je over "Mara toch hd.. advies gevraagd!" wilt praten in het hondenforum dan kun je het beste een nieuw onderwerp aanmaken
3 doggies 
persoonlijk schrik ik niet zo van de foto's
maar goed, ik ben lang geen expert en kan niet goed zien of het bot al onrustig is
maar hd-b/hd-c......... er bestaan wel slechtere uitslagen
en met goede bespiering en veel rechtlijnige beweging hoeft dit nooit een probleem te geven
(en netjes een beetje schraal houden)
ik ken honden met hd-c die nooit 1 pas verkeerd lopen en uitstekend functioneren.
zelf ben ik niet zo dol op apporteren en flyball, het geeft enorme klappen op de rug en de poten
van de hond, en goede heupen of wat minder goed, het is niet voor mij niet een natuurlijke beweging die de hond maakt.
maar voor je plezier behendigheid, of ht schapendrijven..... volgens mij kan dat prima
zelf heb ik heel goede ervaringen met gelatinaat van primeval
mijn da is daar ook heel positief over, omdat de hond het daadwerkelijk opneemt
iets wat met veel mensenpillen maar zeer de vraag is
het is trouwens niet specifiek een glucosamine
ik ken diverse honden die dankzij de gelatinaat of veel beter gingen bewegen of zelfs
pijnstilling konden afbouwen
maar echt, hd-b/c......... ik denk dat heel wat honden er blij mee zouden zijn
tuurlijk hoop je op puntgave heupen, en is het goed dit te weten en er rekening mee te houden
maar echt rampzalig........ joh, ik heb foto's van hd d/e of erger gezien
en zelfs daarbij zjin honden (hoewel je het natuurlijk niet kiest of wenst) die met de juiste
beweging, voeding en gewicht, er heel goed mee weg komen.
niet dat ik dat promoot, integendeel, maar hd-a is echt niet noodzakelijk voor een goed lopend en arbeidzaam leven voor een hond (voor fokkers is dat weer anders natuurlijk)
btw
mijn vorige hond had hd-tc (wat nu hd-b is) hij heeft nooit 1 stap verkeerd gedaan
sprong tot op zn laatste dag moeiteloos de auto in (ruim 13jaar oud)
en heeft een zeer zeer actief hondenleven geleid....
dusse..... kop op !!

Bedankt voor je reactie,Waar kan ik dat gelatinaat krijgen? Ik ben zelf ook niet zo voor mensenpillen voor honden, dus vind ik dit inderdaad een betere oplossing!
3 doggies 
Ten eerste vind ik de foto's slecht genomen.
Op de 1e foto ligt de hond niet recht, de knieschijven zijn niet mooi naar voren gedraaid.
Hierdoor lijkt het erger dan het is.
Wel is duidelijk te zien dat de rechterheup (op de foto links) de kom minder diep is dan de linker kant.
Ook de 2e foto is vreemd genomen waardoor een vertekend beeld te zien is.
Mag ik vragen waar je de foto's hebt laten nemen?
Is het door een DA gedaan die verstand heeft van het maken van heupfoto's?
En hoe komt hij aan HD-B/HB-C?
Alleen het beoordelingsteam van de raad van beheer kan jou de juiste uitslag geven, een DA doet vaak een suggestie, maar die kan er net zo goed naast zitten.
Ik snap dat je baalt, maar als het daadwerkelijk HD-B is is het nog niet zo slecht, honden die HD_B hebben hebben geen last van de heupen en er kan nog gewoon mee gefokt worden, of je dit van plan bent doet er niet toe, maar het is om even aan te geven dat HD-B geen slechte heupen zijn.
Als ik jou was (maar dat is mijn mening) zou ik de foto's op nieuw laten maken en dit keer een DA uitzoeken die geen roesje gebruikt, heupen die op de foto zijn gezet onder een roesje zullen altijd anders o de foto staan, de roes zorgt er namelijk voor dat het lichaam en de spieren slap zijn en daardoor kan de hond scheef op de foto liggen en de benen niet in de juiste (normale) stand hebben staat en dus een vertekend beeld geven.
3 doggies 
Even als voorbeeld, dit is de HD foto van mijn teef, met beoordeling HD-A.


Bedankt voor je reactie,Ik heb de foto's laten maken door een DA die vaak foto's maakt voor de RVB, aangezien Mara stamboomloos is, kan ik ze dus niet op laten sturen.
wel heeft de DA contact opgenomen met een orthopeed om er nog eens zeker van te zijn dat hij de heupen goed geclassificeerd had,
De orthopeed bevestigde dit, ik neem aan dat de orthopeed er toch wel voor geleerd heeft en weet waar hij mee bezig is.
Mijn dierenarts wilde het ook zonder roesje doen, Maar dit was veel te onaangenaam voor Mara.. Dan hadden het zeker geen betere foto's geworden dan ze nu zijn helaas..
Het scheelt wel dat de foto's zijn gemaakt net toen ze het roesje had gekregen, het roesje was ook zo'n lichte dosering dat haar reflexen actief bleven, ook voelde we duidelijk spierspanning toen we haar in positie legde.
Ik ben het wel met je eens dat de houding wel veranderd door het roesje, maar het bot wordt er natuurlijk niet anders door gevormd..
En ik Mara haar geval was het gewoon geen optie het zonder te doen.
En even edit.. Fokken zit niet in het program hoor.. Maar ik wilde graag de conditie van haar heupen weten voordat ik verder ging in de behendigheid 
3 doggies 
Nee het bot wordt niet anders, maar als de poten niet op de juiste plaats gehouden wordt tijdens de foto (zoals hier het geval is, beide kniwschijven naar buiten gedraaid) worden de heupen anders beoordeeld als dat ze werkelijk zijn.
3 doggies 

Oke, bedankt, ga ik zeker doen! Bedankt voor de tip'
Ik heb van Tamara ook een contact adres gekregen waar ik even contact mee kan opnemen
3 doggies 
Ik heb geen verstand van HD, maar is speuren misschien wat voor Mara? Een stuk minder belastend dan flyball en behendigheid, maar ze is wel lekker bezig met haar koppie. En is treiball misschien een vervanging voor schapen drijven?Hier in Hellevoet gaan ze Balans & Coördinatie geven, hiermee leren honden hun gewrichten op de juiste manier te belasten. Nu is Mara niet zo lomp dus dat scheelt al, maar misschien wordt de HD daardoor ook wat meer ontlast. Ze leren de juiste manier van bewegen.

Helaas heeft Mara het niet zo op speuren.. Maar meer op het als een gek rondjes rennen en overal heen vliegen en eenden de lucht in jagen..Treibbal is misschien wel een idee, maar ik blijf liever schapen drijven doen natuurlijk als dat niet te belastend is..
Een vrienddin van mij haar vriend geeft treibbal les dus aan hem kan ik het wel eens vragen 
3 doggies 
Jammer van de uitslag, maar het valt denk ik wel mee hoor. Je moet het niet te somber in gaan zien, Mara heeft geen last, en met HD B kun je nog prima sporten, ook met HD C kun je nog heel veel doen, je zult alleen wat voorzichtiger zijn.
Als de heupen meer richting B gaan dan C dan zou ik gewoon behendigheid blijven doen hoor, je kunt er zelfs nog voor kiezen om bijv. de schutting gewoon over te slaan.
3 doggies 
Ja ik snap ook al niet dat er zo zwaar gedaan wordt over HD-B heupen.
HD-C is erger, maar niet zo erg dat de hond niets meer kan en mag.
Zolang de heupen geen HD-D of HD-E als beoordeling krijgen is het nog niet ernstig.

Ja dat leek me ook wel inderdaad.. Maar ik ben bang dat als ik egoïstisch ga doen en door ga met behendigheid.. Mara haar heupen alleen maar kapot maak.. En dat is wel het laatste wat ik wil..En ook omdat de orthopeed zegt stop er maar mee.. Tja.. Moeilijk..
3 doggies 
Ik vind de foto inderdaad ook niet echt super genomen, maar goed, je kan wel zien dat er speling zit tussen de kommen en de koppen, wat wijst op HD.
Taika heeft HD-C en in de officiele diagnosebrief stond letterlijk (even vrij vertaald uit het Noors natuurlijk
): Honden met deze diagnose zullen normaal gesproken geen beduidende problemen ondervinden. De hond kan gebruikt worden voor alle hondenactiviteiten, inclusief trekken (in Noorwegen vallen Leonbergers ook onder de trekhonden), hiking, agility, enz.
Het is belangrijk dat de hond regelmatige beweging krijgt en dat de hond niet te dik wordt.
Ik denk dat je best nog wel kan sporten met je hond, maar dat je het misschien wat rustiger aan doet en eventueel met wat aanpassingen, zoals de snelheid, dat de draaiingen niet te plots zijn, etc.
Wij geven trouwens wel 'mensenpillen' (
) Aangezien er alleen maar zuivere glucosamine en chondroïtine in zit en we zien ook dat het werkt
(In veel pillen zitten trouwens wel nog heel veel andere stoffen dan alleen glucosamine en chondoïtine, dus het is wel even nakijken geblazen wanneer je dit doet)
3 doggies 
Vergeet nog helemaal te zeggen: vervelend nieuws voor je natuurlijk :( Ik weet hoe het voelt en het is echt balen.Maar het enige wat je kan doen, is er het beste van maken 

Gelukkig is ze niet te dik en hebben wij haar altijd aan de schrale kant gehouden 
3 doggies 
Bah, wat vreselijk
Maar zoals al gezegd, zolang je de bespiering goed blijft houden (dus zeker niet af laten zwakken), dan hoeft het voorlopig in ieder geval echt niet zo'n groot probleem te zijn!
Flyball zou ik inderdaad wel mee stoppen, geen balletjes e.d. meer gooien, want dat is erg belastend. Met b-heupen moet behendigheid nog wel kunnen hoor, evt. wel tempo aanpassen en schutting overslaan. Van schapen drijven heb ik geen verstand, dus dat weet ik zo niet (hoewel het me niet echt belastend voor de heupen lijkt? Maar zoals gezegd, geen verstand ervan
)
Véél rechtlijnige bewegingen ja, draven naast de scootmobil/evt fiets is ook heel goed voor de spieren. Zwemmen (als ze dat leuk vindt) is ook een goede spieropbouwer, wel in niet al te koud water dan, want dat is niet goed voor de gewrichten.
En hier ook mensenpillen in het begin (gok dat ze toen c- à d-heupen had, toen wij erachter kwamen dat ze HD had. Maar weet ik niet zeker, nooit foto laten maken), werkt prima hoor en véél goedkoper. Later, toen ze echt heel veel last kreeg van de HD en steeds moeilijker ging lopen (ging richting de e-heupen denk ik), hebben we wel de hondenpillen gegeven, die werken in zo'n stadium toch net iets beter. Maar waarom duur doen als in het begin de mensenpillen ook prima werken? 
Heel veel succes in ieder geval, houd die bespiering zo en alles komt goed 

Ik was inderdaad al gestopt met balletjes toen ik zag dat ze wat schokkerig remde met haar achterpoten.. Dat is echter het enige waar ik het aan merk, echt heel hard remmen en dan ook tegelijk om willen draaien..
Dit komt doordat het onderwerp niet meer recent is en in het hondenforum archief terecht ik gekomen.
Als je over "Mara toch hd.. advies gevraagd!" wilt praten in het hondenforum dan kun je het beste een nieuw onderwerp aanmaken
Zoek je iets op de HondenPage ? Vul dan hier jouw zoekwoorden in ?