Fokker vermelding van Tessa the shepherd cross

Fokker vermelding

Kennel
Kennelnaam: Tessa the shepherd cross
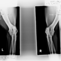
Beschrijving: Tessa verwacht tussen 31 januari en 8 februari haar eerste nestje pups, op de echo heeft de DA zeker 6 pups geteld. Tessa is Duitse/Mechelse/Hollandse herder kruising, ze is ED en HD getest maar niet officieel. de DA zei dat ze ED helemaal vrij is en ze net geen HDa heeft dus net HDb. Verder heeft ze de H474-D DNAtest gehad waarin ook de DM test zit en hier is ze overal vrij van. De dekreu is een Duitse herder langstokhaar genaamd Turbo. turbo's ouders hebben beide wel een stamboom, maar Turbo zelf heeft er geen. het is een erg lieve en sociale reu van 2jaar oud en kan goed mat alle dieren en kinderen. hij is HD en ED vrij, maar heeft verder NOG geen andere testen gehad.

Contact
Website: https://www.facebook.com/pages/Tessa-the-shepherd-cross/328052520670371
Telefoon: 06-14974266

Adres
Woonplaats: Eck En Wiel

Stamboom

Het kan zijn dat de honden waarmee deze fokker fokt geen stamboom hebben. Lees hier (binnenkort) meer over de voordelen van een stamboom !

Hondenrassen

Tessa the shepherd cross is te vinden onder
- Mechelse Herder fokkers
- Hollandse Herdershond fokkers
- Duitse Herder fokkers

Enquete

Vertel iets over de honden waarmee gefokt wordt. Wat is de leeftijd ?
tessa in een Duitse/Mechelse/Hollandse herder kruising ze is nu 2,5 jaar oud. ze is een lieve werklustige hond die graag overal bij is en meegaat en is erg sociaal met andere honden en mensen. wel is ze op het erf erg waaks.

Waarop zijn de ouders getest ? Wat zijn de uitslagen ?
de ouders zijn op ED en HD getest, de vader is ED en HD vrij en de moeder EDvrij en heeft HDb. verder heeft Tessa de H474-D DNAtest gehad en was op alle punten helemaal vrij, waaronder de DM test.

Waarop worden de pups getest en hoe vaak en waarop worden ze onderzocht. Welke intentingen krijgen ze ?
de pups zullen geent, gechipt en ontwormd worden en zullen een gedragstest krijgen voor ze het nest verlaten

Op welke leeftijd mogen de pups uit het nest ?
de pups mogen het nest met 8 a 9 weken verlaten

Hoeveel nestjes worden er per jaar gefokt ?
de planning was om maar 1 nestje te fokken, maar ik heb al verschillende aanmeldingen gehad voor een pup uit een volgend nest, dus als Tessa de bevalling goed doorstaat en de pups sociaal en gezond opgroeien, is er oon kans dat er over een jaar of 2 nog een nestje komt.

Hoe en waar groeien de pups op ?
de pups zullen in huiselijke kring opgroeien maar zullen ook gesocialiseerd worden met de boerderij dieren en andere honden. uiteraard doe ik er alles aan om ze overal mee te sociliseren en probeer ik ze ook zindelijk te krijgen voor ze het nest verlaten.

Contact

Vul onderstaand fomulier volledig in om contact op te nemen met Tessa the shepherd cross
Laat een reactie achter

Uw naam
Uw email
Uw bericht:

Reacties

Geen reacties gevonden

Om te kunnen reageren moet je eerst inloggen

 

Foto's

----Tessa the shepherd crossTessa the shepherd crossTessa the shepherd crossTessa the shepherd cross

Puppy advertenties van Tessa the shepherd cross

Nog geen puppy advertenties gevonden!


^