
Eros gaat wel onder narcose
Bij Herder doen ze dat eerder inverband met spieropbouw. En ik doe het ook voor een grote stress factor. Na het hele gedoe wordt hij lekker verwent.
Vandaag ook heeft hij heel erg last van zijn achterhand, dus kan de arts zien morgen hoe het is bij hem als hij er last van heeft.
Groetjes Bianka
Dit komt doordat het onderwerp niet meer recent is en in het hondenforum archief terecht ik gekomen.
Als je over "HD foto" wilt praten in het hondenforum dan kun je het beste een nieuw onderwerp aanmaken

We zijn weer thuis!
Eros dacht wij gaan iets leuk doen, gelukkig maar. Eenmaal daar ook nog niks aan de hand, en eigenlijk de hele rit van foto's maken niet. We hebben toch omdat hij zo rustig was er voor gekozen zonder narcose te doen. En dat ging wonderwel heel goed. Ook hele rustige en goede mensen daar, en dat is natuurlijk ook fijn voor de hond. Wel vond hij het niet fijn, zeker dat getrek aan zijn poten niet, maar hij bleef liggen. Wij mochten er bij zijn (alleen tijdens het foto maken moesten wij even uit de kamer, maar dat is maar even).
Maar en nu komt het, hij heeft perfecte heupen! Een HD A gekregen en geen botafwijkingen. Dus ja heel goed dus en een opluchting maar gelijk ook wat heeft hij dan wel?
Dus veder zijn poten bekeken, maar de knie was goed, de hak alles was goed. Dus nog maar een foto van de rug gemaakt. En daar zit het hem. Hij heeft 1 wervel die wat verzakt is, je kan zien aan de lijn van het beenmerg dat het dan wat afloopt, een knik in zit, maar niet heel ernstig. Maar daardoor kan er een zenuw of een hernia zitten. Hij heeft eerst een prik gekregen voor een mogelijke ontsteking en voor de spieren, mocht dat niet werken dan komt de pijn zeker uit die wervel. Dan is er nog 1 mogelijkheid en dat is een MIRI maken van de rug. Als dat moet doen moet het, maar die keuze ligt bij ons, het is niet zo ernstig.
Maar Eros heeft er last van, wij kunnen niet de dingen doen wat hij leuk vind (schapendrijven, flybal) Dus ik denk dat het er in zit dat we nog een afspraak moeten maken.
Dus deels goed nieuwe's, en deels niet, dus hopelijk doet de prik zijn werk, en anders weten wij zeker dat wij die wervel en de knik van het beenmerg moeten controleren met een MIRI. En dat is niet niks, gaat ook wat kosten (800 euros) maar wat moet dat moet.
Ik krijg de foto's nog opgestuurd en dan zal ik ze wel plaatsen.
Groetjes Bianka
3 doggies 
Tjee dat is schrikken, van de werfel!
Misschien kan hydrotherapie helpen om, onbelast, de rug sterker te maken!!
3 doggies poeh,
dat is met wat, ja opzich wel goed dat het niet z'n heupen zijn. Maar kan aan die wervel nog echt wat gedaan worden?????
Zwemmen is misschien wel een goed idee, maar dacht dat hij dat al fanatiek deed????
3 doggies 
Een HD A gekregen en geen botafwijkingen.??????
Wordt de foto niet door de commissie bekeken?
Een DA mag een indicatie geven, maar niet een volledige uitslag.
Of was het niet de bedoeling om met hem te gaan fokken?
De uitslag van een DA kan er soms nog wel eens naast zitten namelijk.
Want normaal worden de foto's opgestuurd, bekeken door een speciale commissie (daarbij krijg je eerst een factuur van de raad van beheer) en daarna worden de foto's pas beoordeeld en krijg jij de uitslag.
Van die wervel is wel erg vervelend!
3 doggies 
Even zo overheen gelezen!
Idd de dierenarts mag hooguit zijn mening geven maar dat is zeker geen officiele uitslag! Daarvoor moeten de foto's worden oogestuurd (door een bevoegd dierenarts) naar de van Hirschfeldtstichting ter beoordeling. Daaarna kun je op de site van de Raad van Beheer het verloop van het onderzoek volgen en krijg je de uitslag thuis gestuurd.

Met Eros zijn wij niet van plan mee te fokken, wij hebben die foto laten maken puur omdat hij heel wat klachten had bij inspanning. Hij heeft altijd als hij inspanning heeft geleverd na rust veel pijn, soms zo erg dat hij niet meer op kan staan en wij hem moesten helpen, dus vandaar vermoeden HD, maar wij hebben geen officele foto laten doen, dan moest hij wel onder narcose. Ik krijg de foto's nog, misschien dat ik ze nog door kan laten sturen naar de Raad? Maar heeft dat veel nut dan? volgens mij blijft de uitslag het zelfde. Ik dacht eerst wel hoor om het te doen een officele foto, maar plannen met fokken hebben we toch niet en volgens hem is de uitslag hetzelfde dus hebben we daar voor een geen officele foto gekozen.
Die wervel ja, daar gaan we wat meer mee doen. Zwemmen heeft wel nut voor spier opbouw, maar neemt de klacht (de knik in het beenmerg) niet weg. Dus met land sporten kan hij wel mee doen maar zou hij daarna pijn hebben.
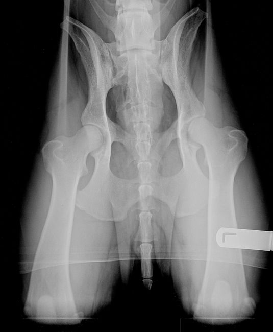
Ik kijk net even in mijn mailbox en ik heb de fotos, hier zijn ze.

Eros zijn rug foto, als je de donkere lijn volgt naar zijn staart zie je dat dan een knik komt, dat is de wervel die niet goed staat.

Groetjes Bianka

Alleen zie je de knik niet zo, anders maar even in mijn foto map kijken dan kan je de foto vergroten en beter zien.
3 doggies 
Ooo oke, dan had ik dat verkeerd begrepen, maar wel een mooie uitslag als je toch vermoed dat er iets zit!
3 doggies Maar wat gaat er nu gebeuren met z'n rug???

Nou hij heeft nu een prik gehad, voor de spieren en voor een ontsteking als die daar zit, met een week moet er al een verandering zijn mocht het probleem niet in de wervel zitten. Blijven de klachten dan weten wij zeker dat het die wervel is, dan kan alleen nog maar die MIRI gedaan worden, om dus te zien of er een zenuw door die wervel klem zit of een kleine hernia. En dan zou hij dus geopereerd moeten worden.
3 doggies 
je kunt de gewoone fotos laten nemen dan weten ze al ongeveer dat ze goed zijn en dan de oficiele fotos maar dan wel met roesje voor de oficiele hd.
zonder verdoving denk niet dat het lukt wand de heupkommen worden heel wat uitgetrokken.
er word met de heupen echt wel wat gedaan en dat zou anders heel pijnlijk zijn.
hebben jullie het dan niet over de voorfotos de gewone simpele maar die niet geldig zijn voor de comisie ????
OP DE REZULTATEN MOET JE 2 a 3,4 maand wachten.
een dierenarts heeft aleen iets te zeggen op de gewone fotos.
niet voor de fok
3 doggies 
HIer wordeb altijd officile HD foto's gemaakt zonder roesje,dus het gaat wel.
En nee het doet geen pijn,hodnen vinden het alleen niet oke om op de rug in de bak te liggen en dan ook nog in de positie die wij willen,hahahaha
Daardoor stribbelen ze tegen,maar het doet absoluut geen pijn,alleen als de heupen heel slecht zijn...
Bianca deze foto kan je niet opsturen naar de hirschfeld stichting want er staat geen naam in de foto en daarbij is dit een digitalen foto en volgens mij is het nog altijd een "echte" foto nodig met naam en NHSB nr erin.
Volgens mij moet er dan ook een formulier ingevuld worden,bij en door de da.
Maar ach je liet ene foto maken om te kijken wat er mis was,jammer genoeg is het zijn ruggetje....ik hoop dat hij snel pijnloos verder kan
3 doggies 
@ Nadine, ik had de uitslag van van mijn foto's met 4 weken hoor van de raad van beheer, 2,3,4 maanden is wel erg lang. Tenzij je ED laat doen, die worden maar eens per 2 weken beoordeeld bij de raad van beheer. De HD foto's doen ze alle doordeweekse dagen zo uit mijn hoofd.
En ik heb de foto's ook laten maken zonder roesje (de HD foto's, ED gaat wel met lichte verdoving). Het is beter om ze zonder roesje te doen omdat onder verdoving de spierspanning weg is en het dat heel lastig is om ze mooi recht op de foto te krijgen. En normaal gesproken is dit niet pijnlijk. Veel honden vinden het niet leuk omdat ze op hun rug stil moeten liggen. Het is alleen pijnlijk als een hond echt hele slechte heupen heeft met veel arthrose vorming.
3 doggies 
in belgie komt de comisie maar eens per maand samen en valt het te zien of je er nog bijkunt.
ik heb 4 maand moeten wachten op oficieele rezultaten van comissie
mij zeiden ze dat het pijnlijk is en daardoor roesje.
ik ben naar nl gegaan met beide honden maar in be doen ze ook roesje.
ik wist niet dat het zonder roesje kon
3 doggies 
Als je toch geen fokintenties hebt dan zou ik de foto's niet zo snel opsturen tenzij je gewoon graag (officieel) wilt weten hoe de ouders vererven!
Ik hoop dat alles met Eros goed komt en dat je lekker leuke dingen met hem kunt gaan doen zonder dat hij last krijgt van zijn rug!
3 doggies 
Een roesje voor een HD foto is naar mijn inziens niet altijd nodig, er zit wel een maar aan.
Als jij een hond hebt met pijn aan de achterhand, dan is een roesje wel degelijk nodig, je wilt de hond geen pijn laten lijden. Men heeft er geen idee van hoeveel pijn het kan doen om de knie gewrichten zo mooi in te draaien om de heup op zijn plek te krijgen/houden.
Tegenwoordig kan een roesje zo veilig dat ik me daar niet veel zorgen over maak als het maar met beleid gebeurt.
3 doggies 
Pfff, in ieder geval goed van de heupen, al hoewel ik deze foto zelf niet in zoou sturen voor een officiele HD beoordeling, maar daar was de foto ook om te beginnen al niet voor bedoeld.
De hond ligt n.l. behoorlijk scheef, de (rechts op de foto)kop en kom liggen niet op een lijn, en de rechterkop is veel kleiner dan de linker.(op de foto), je zou met deze foto nooit een HD A beoordeling krijgen is mijn idee, maar goed daar ging het ook niet zozeer om
Ik zie ook wel wat in de rug, bij de laatste 2 wervels lijkt het op de foto of de tussenschijf mist, en beide wervels elkaar rechtstreeks raken, wat dus absoluut niet zo hoort te zijn..........en zeer pijnlijk is voor de hond idd, vooral na inspanning.
Ik persoonlijk zou zelf naar een orthopedisch chirurg gaan voor verdere onderzoek, tenzij dit al het geval is, dan heb ik dit niet gelezen, en niets gezegt 
heel veel beterschap met je hondje, is niets erger dan te moeten zien dat hij af en toe zich niet lekker voelt en je niet precies weet waardoor

Zeker, en het gaat ook op en af, ligt er aan wat hij gedaan heeft en hoe vaak en hoelang. Als hij heel druk bezig is geweest, dan kan je hem na rust zelf optillen als hij moet staan, want zelf doet het hem dan veel te veel pijn en dat voor een hond van bijna 3 jaar.
Beide ouders van Eros hadden HD A en 5 generaties terug weet ik niet Maar dat zegt nog niks, want HD is maar voor 30% erfelijk en de rest is omgeving en voeding. Wel hebben heel veel nakomelingen van de vader van Eros heel veel last van groeipijn (wat Eros ook had). Dus nee het zit hem niet in de heupen maar de rug, en inderdaad het zijn de laatste 2 wevels.
Tot nu toe nog geen veranderingen bij Eros.
Dit komt doordat het onderwerp niet meer recent is en in het hondenforum archief terecht ik gekomen.
Als je over "HD foto" wilt praten in het hondenforum dan kun je het beste een nieuw onderwerp aanmaken
Zoek je iets op de HondenPage ? Vul dan hier jouw zoekwoorden in ?