
Hallo,
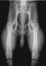
mijn hond heeft een tijdje geleden fotos laten maken van van zijn heup en knieen.. Zijn heupen zagen er niet goed uit volgens de dierenarts en zijn doorgestuurd naar een orthopeed dit duurt alleen erg lang voordat we een uitslag binnen hebben misschien dat iemand weet of dit hd kan zijn zie bovenstaande foto. Hoop dat iemand hier iets meer van weet dan wij zelf.

Dat ziet er helaas niet goed uit. De heupkommen zijn ondiep en de koppen liggen niet goed aangesloten in de kommen.
Nee precies.. het is een hond van 10.5 maand en ik las dat bij een hond met hd een operatie het liefst voor de 12 maanden wordt uitgevoerd wat dus betekent dat hij nog 1.5 maand heeft. Denken jullie dat dit hd kan zijn?

Ja, ik ben bang dat dit inderdaad HD is. Een slechte aansluiting, onvoldoende overlap tussen de kop en de kom; 'hip laxity' (losse heupen).
Onze hond heeft ook HD en op de foto's die gemaakt zijn toen ze 18 maanden oud was zaten de heupen iets beter in de kommen dan op jouw foto, en onze hond heeft de diagnose HD-C gekregen.
Een bekkenkanteling kan een optie zijn (dat is denk ik de operatie waar je aan denkt/over gelezen hebt?), maar dan zou een specialist moeten kijken met de handgreep van Ortolani of zo'n operatie nuttig zou zijn. Dat is namelijk niet altijd het geval.
Zo'n operatie wordt op eenleeftijd van tussen de 6 en 16 maanden gedaan, maar hoe eerder hoe beter natuurlijk.
Wat je kan doen is contact opnemen met de orthopeed waar de foto's naartoe zijn gestuurd en aangeven dat je bezorgd bent en een eventuele operatie als optie zou zien. Dan snappen ze ook dat je er zo snel mogelijk bij wilt zijn en kunnen ze je misschien wat sneller helpen.

Mijn fokker wilde graag dat wij heupfoto's zouden maken rond de leeftijd van 10 maanden. Dit om te kijken of ze nog een nestje met het paartje kon krijgen.
Bij de oudste hond zaten de koppen strak in het kommetje, vandaar dat ik nu zie dat dit niet goed is. Bij de 2de hond was er een hele kleine ruimte, maar dan ook heel klein (niet erg)maar een volgend nestje zat er niet in.
Als je de uitslag hebt moet je dat melden aan je fokker. Je hebt bij een erkende fokker een garantie tijd van minstens een jaar. Mocht er een operatie volgen is dat voor kosten van de fokker.

Mjah, dat is bij HD een beetje lastig, deze 'garantie'. HD kan namelijk door zowel erfelijke als omgevingsfactoren komen, en je weet nooit helemaal zeker welke factoren een rol hebben gespeeld.
Je kan een goede fokker echt niet aansprakelijk stellen voor zoiets. Een goede fokker zal je misschien tegemoet komen in de kosten voor een eventuele operatie, maar wettelijk gezien hoeven ze niks.
Onze hond komt trouwens uit een combinatie en lijnen met A-heupen, en toch heeft ze HD-C. We hebben zo goed als alle omgevingsfactoren die een rol kunnen spelen bij het ontwikkelen van HD uitgesloten, maar ik ga de fokker niet aansprakelijk stellen voor zoiets. Het is gewoon pure pech, en het risico dat je loopt wanneer je een hond aanschaft. Moet ik er wel bij zeggen dat ik hier praat over wanneer je een hond bij een goede fokker vandaan haalt.
Zoek je iets op de HondenPage ? Vul dan hier jouw zoekwoorden in ?