
HalloZoals sommigen zich misschien nog konden herinneren heeft max 3 maand geleden zijn ribben gebroken door onder mijn paard terecht te komen. Al bij al viel het nog mee en heeft hij buiten zijn ribben niet veel schade opgelopen. Zijn twee achterste ribben waren volledig over. Hij is inmiddels wel goed hersteld en sindsvorige week zijn we terug gestart met agility.
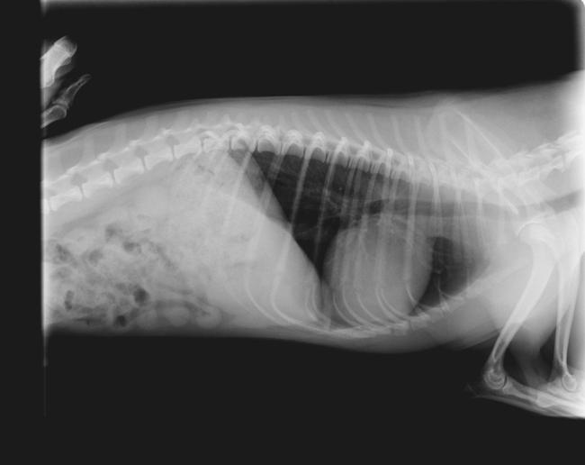
Hier de foto's van zijn ribben (3 maand geleden)
Op de eerste foto is de breuk duidelijk te zien... ( links vanonder)


Dit komt doordat het onderwerp niet meer recent is en in het hondenforum archief terecht ik gekomen.
Als je over "max zijn gebroken ribben in beeld" wilt praten in het hondenforum dan kun je het beste een nieuw onderwerp aanmaken

Ja dat was even verschieten... heb hem 2 maand rustig moeten houden wat heel moeilijk was! 
want max had het niet door dat hij iets gebroken had
3 doggies 
oei dat moet heftig geweest zijn, gelukkig dat hij weer helemaal hersteld is.
In hij nu angstig voor je paard geworden?

3 doggies 
Oef...arme Max...
Hopelijk heeft hij er geen last meer van. En nee, het is beter om hem bij de paarden niet meer los te laten..

Nee last heeft hij er niet meer van tijdens de les agility doed hij het ook heel actief we hebben ook langer gewacht dan de DA aanrade zodat hij zeker goed hersteld was.
Ja ik zou dit niet nog eens willen meemaken... we hebben geluk gehad dat er geen organen beschadigd waren..
Uiteindelijk was het zeker niet mijn paard zijn schuld... ze kwamen samen op het verkeerde moment en mijn paard liep over hem, dat beeld was verschikkelijk.
3 doggies 
Wat een mooie kwaliteit röntgen foto! Je ziet zo het hart, longen, lever?, maag? zitten! En helaas ook die breuk, maar goed daar liet je de foto voor nemen.

Ja de fotos zijn via mail doorgestuurd dus er is toch een beetje kwaliteit weg..Op eerste zicht leek max ook niets te hebben... maar de DA voelde iets raar bij zijn ribben ..
Ik wilde zowizo foto's laten maken voor de zekerheid en ja toen zag ik duidelijk die breuk
Dit komt doordat het onderwerp niet meer recent is en in het hondenforum archief terecht ik gekomen.
Als je over "max zijn gebroken ribben in beeld" wilt praten in het hondenforum dan kun je het beste een nieuw onderwerp aanmaken
Zoek je iets op de HondenPage ? Vul dan hier jouw zoekwoorden in ?