Dierenklinieken

honden encyclopedie > Dierenklinieken

Foto's van bezoekers

Dierenklinieken Dierenklinieken Dierenklinieken Dierenklinieken Dierenklinieken

Dierenklinieken

 
   Dierenklinieken België    Nederlands 

Prov.Oost-Vlaanderen:
:

Dierenkliniek De Bosdreef NV
Spelonckvaart 46 9180 Moerbeke-Waas (Moerbeke)
Contactgegevens·         09 346 76 18 ·         http://www.bosdreef.be ·         [email protected]   

Dierenziekenhuis Universiteit Gent
Salisburylaan 133 9820 Merelbeke  
Contactgegevens·         09 264 75 03  

Prov. Antwerpen
  

Het Binnenhof BVBA
Bisschopslaan 68 2340 Beerse  
Contactgegevens·         014 62 20 20    

Dierenkliniek "De Brem" NV
Gierlebaan 131 2275 Lille  
Contactgegevens·         03 484 48 18 ·         [email protected]    

Prov.Limburg
 

Dierenkliniek Vandecan
Putmosstraat 10 3600 Genk 
 Contactgegevens·         089 38 60 60 ·         http://www.dierenkliniekvandecan.com ·         [email protected]  


 Prov. Vlaams-Brabant 

Dierenkliniek Kruisbos
Aarschotsesteenweg 320 3111 Wezemaal (Rotselaar) 
 Contactgegevens·         016 44 42 87   

Prov. west Vlaanderen

Dierenkliniek Causus BVBA, Westkerksestraat 20, 8460 Oudenburg.
www.causus.be
059/250008
[email protected]

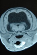
Specialisatie is chirurgie (orthopedie, neurochirurgie en zachte weefselchirurgie) en diagnostic
Hiernaast zie je enkele foto's van een operatie van een faraohondje met een waterhoofd.
De link vind je op : http://www.causus.be/draaiboek.cfm?Id=26&draaiboek_Id=108&Rubr=5

We bouwen voor het ogenblik een nieuwe kliniek, alle info vind je op: http://www.causus.be/index.cfm?Id=83&Rubr=9


Meer adressen en andere provincies vind u in de gouden gids = rubriek < dierenklinieken > 

Dierenklinieken Nederland



Dierenkliniek en Dierenhotel Het Hazewinkel, Oldenzaal

http://www.hethazewinkel.nl/



Dierenkliniek Eibergenhttp://www.dierenkliniekeibergen.nl/


Dierenkliniek Enschedehttp://www.dierenkliniekenschede.nl/index2.html

Dierenkliniek Ermelo
http://www.dierenkliniek-ermelo.nl/

Dierenkliniek Wilhelminapark Utrecht
http://www.dierenkliniekwilhelminapark.nl/


Dierenkliniek Wilhelminalinde, Renkum
http://www.wilhelminalinde.nl/


Dierenkliniek Terneuzen
http://www.dierenkliniekterneuzen.nl/



er zijn natuurlijk nog ontzettend veel adressen, meer info op het internet onder = dierenklinieken Nederland.

 

Schrijf een artikel

Honden Encyclopedie: de encyclopedie over honden

Momenteel staan er 0 artikelen in de honden encyclopedie !
Om een artikel te kunnen schrijven moet je eerst eventjes inloggen !


De HondenPage maakt gebruik van cookies. Dit zorgt er voor dat onze website voor jou als bezoeker beter werkt. Daarnaast gebruiken wij o.a. cookies voor onze webstatistieken en advertenties.info / verbergen en toestaan
^