Geen titel van melina

Krabbels

honden page profiel Willemijn - baasje van Vika .           Bams  en Ogin   ¥ .Willemijn - baasje van Vika . Bams en Ogin ¥ . schreef om 16 januari om 13:03
Ja begrijp ik Melina...
honden page profiel melinamelina schreef om 16 januari om 12:50
ja dat ik doe ik daarom kan mensen de foto zien dat het echt zo is snapje
honden page profiel Willemijn - baasje van Vika .           Bams  en Ogin   ¥ .Willemijn - baasje van Vika . Bams en Ogin ¥ . schreef om 16 januari om 12:36
Zie het melina, doe voorzichtig met je kleintje...rustig bewegen...
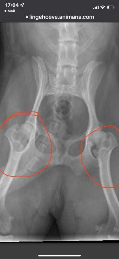
honden page profiel melinamelina schreef om 16 januari om 12:34
artrose heupkopjes zijn helemaal versleten en ze heeft nu injectie librela

Laat ook een krabbel achter
Om een krabbel achter te laten moet je eerst inloggen

 

Volgende foto's

Vorige foto's

Honden foto's

  • honden foto's
  • Om ook een foto van jouw hond toe te voegen moet je eerst inloggen

Fotowedstrijd


^