Hallo ik ben Ellen en heb een schat van een Berner teefje van net twee jaar jong. Al voor haar eerste levensjaar wisten wij (dmv foto's) dat onze Puk een zeer ernstige vorm van HD heeft (E++). In overleg met onze dierenarts en artsen uit Utrecht werd ons afgeraden haar te opereren, het is dermate ernstig dat dat haar niet "echt" zou helpen. Wel hebben wij haar een echt "honden" leven willen geven, lekker ravotten met andere viervoeters,lekker struinen door de modder en lopen zover dat kon, spieren kweken...zoveel als mogelijk was!! Het leek erg goed te gaan met Puk, dierenarts stond verstelt van de hoeveelheid spieren die Puk heeft weten op te bouwen en ondanks het manken ging het super met haar. Nu,sinds een paar weken,gaat het heel snel berg afwaarts met haar. Puk heeft pijn.
Ze staat sinds een paar weken op pijnstilling, begonnen met 2x daags 25mg Carporal per dag, na een week al snel opgebouwd naar 2x daags 50 mg Carporal per dag. Nog steeds lijkt Puk veel pijn te hebben, ze hijgt, kwijlt, stop vaak tijdens de wandeling, maar bovenal reageert ze erg snauwend op mede viervoeters die haar pad kruissen. Terwijl ze altijd gek is geweest met alles wat beweegt!!! Dit alles baart mij veel zorgen, vooral door haar reactie op andere honden heb ik veel verdriet. Dit geeft aan dat ze echt veel pijn heeft.
Wat moet ik nu, pijnstilling verhogen, haar rust gunnen.?
Ik weet het niet meer....ben erg verdrietig en weet niet waar ik nu goed aan doe. Alvorens mijn DA te bellen, Hoop dat jullie ervaringen met mij willen delen! Ellen
Dit komt doordat het onderwerp niet meer recent is en in het hondenforum archief terecht ik gekomen.
Als je over "wat nu?" wilt praten in het hondenforum dan kun je het beste een nieuw onderwerp aanmaken

Wat een rot situatie! Ik weet niet wat ik je voor advies moet geven. Wil je wel heel veel sterkte wensen!

hallo ellen, ik zou haar gewoon de rust geven die zij zelf wil, wel uitlaten maar dan gewoon aan de lijn .
en het wil ook heel goed helpen om haar levertraan te geven, zelf hebben we vroeger ook aan onze rottweiler levertraan gegeven 1 paplepeltje per dag en na 4 dagen werd de pijn minder en ze kon weer gewoon lopen en opstaan.
sterkte met alles want ik weet dat het jezelf veel pijn doet als je je hond zo ziet.

Wat vervelend voor Puk, Ellen. Heb geen ervaring met HD, maar misschien zou je nog andere dierenartsen (naast je eigen) kunnen laten adviseren over wat je het beste kan doen?

Bedankt vast voor jullie reactie's! Ik heb gelukkig een hele fijne dierenarts, die ronduit eerlijk en voor het welzijn van dieren is. Hoop via dit forum wat info in te winnen, kan ik misschien een beetje brainstormen met mijn DA.
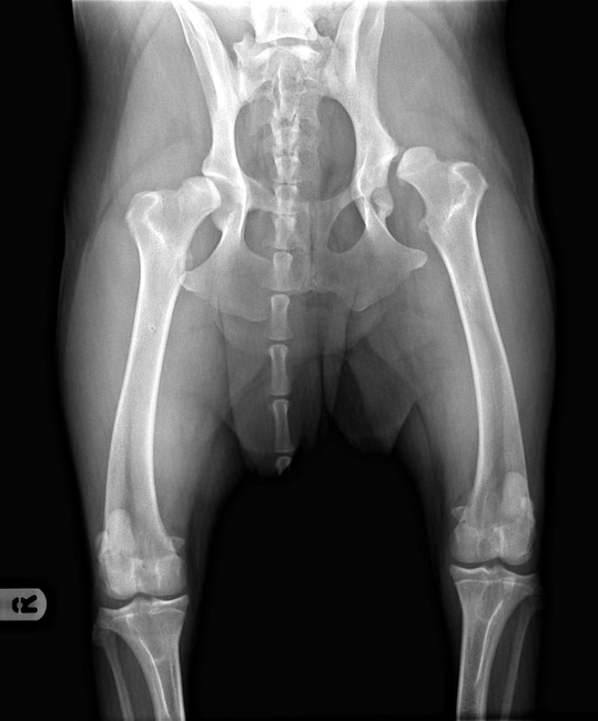
Inmiddels kon ik weer inloggen en heb een foto van de heupen van Puk op mijn profiel geplaatst. Weet niet hoe ik de foto bij mijn verhaal kan plaatsen.
Gr. Ellen

hallo Ellen,
vind dit een nare situatie, je hebt Puk een fijn leven willen geven maar nu ze wat verder is krijgt ze de pijn die al te verwachten was.Hier op het forum is iemand die op dit moment in afwachting is van de eerste operatie.Misschien kan je met die van gedachten wisselen.Maar ik begrijp dat je eigenlijk ook niet weet hoe verder te gaan, maar een hond met veel pijn laten leven is geen leven.misschien had je beter Puk in kunnen laten slapen toen het resultaat van de foto.s en daarmee de diagnose bekend werd gemaakt.Naarmate je Puk langer hebt wordt het steeds moeilijker afscheid te nemen, maar ik hoop dat er een beter vooruitzicht is voor jullie Puk,helaas kan ik je verder niet helpen.Heel veel sterkte.Topic van het andere baasje heet

Ellen, dat is moeilijk waar jij voor staat...
De pijnbestrijding is niet voldoende meer...
Ik zou ook gaan voor een second opinion, misschien bestaat er voor honden een soort korset, zodat de heupen gesteund worden?
ik leef met je mee, een oplossing zou ik je graag geven.

Hoe oud was je woef toen de hd werd vastgesteld?
Jacko, mijn DD, was 8mnd en de foto's gaven aan een zware C-heup maar zonder artrose of dergelijke en een mooie kop en kom!
wij kregen de keuze: een TPO,bekkenkanteling,maar moet voor 1 jaar worden uitgevoerd; een kunstheup op latere leeftijd; of gewoon behandelen met pijnstillers en watertherapie.
Wij hebben voor een TPO gekozen, met terugbetaling van de verzekering, en hij is nu een dartele reu van 2,2 jaar 
Is een kunstheup geen oplossing voor jullie? Eventueel beginnen met pijnstillers,spierverstevigers en aquatherapie en ondertussen sparen voor een kunstheup...
Natuurlijk is een E++ veel zwaarder dan een C+ maar toch...
Vermeid voorlopig het apporteren, lopen op onstabiele ondergrond zoals zand en gras, vermijd het ruw spelen waar ze korte bochten in nemen en zorg dat het gewicht van je hond zo laag, maar nog gezond natuurlijk, is zodat de belasting minimum is!
Veel succes!
Wat een rot situatie zeg. De heup foto's lieten me ook behoorlijk schrikken. Heb best weleens wat heupfoto's gezien die wat minder waren, maar geloof niet dat ik dit al eerder heb gezien
Ik denk dat je je vooral moet richten op pijnbestrijding. Zolang Puk geen pijn heeft kan hij/zij nog een leuk leven hebben. Helaas zal de pijn op een gegeven moment echt te erg worden voor Puk en zul je hem/haar moeten laten gaan. Wanneer dit is kan je denk ik zelf het beste aanvoelen. Het is verdomd moeilijk om deze beslissing te nemen, maar uit liefde voor Puk moet die keuze op een gegeven moment toch echt gemaakt worden en dat zal waarschijnlijk op een veel te jonge leeftijd zijn
Laat puk dus niet lijden, dat heeft hij/zij niet verdiend lijkt me. Tot de tijd dat het zover is is denk ik pijnbestrijding het belangrijkste om nog een leuke tijd samen te hebben!
Veel sterkte!

Oei, dat is schrikken die foto...
Inderdaad, zoals hierboven al is geopperd, misschien kun je contact opnemen met Corrie, binnenkort wordt haar hond (ook een Berner) geopereerd.
http://www.hondenpage.com/baasjes/30512/corrie,kay-en-bowy.php
Met hoeveel arsten is de situatie van Puk inmiddels besproken? Ik zie namelijk in je eerste bericht je eigen Da en artsen in Utrecht? Zijn dat specialisten?

Contact opnemen met Corry heeft nu nog geen zin.
Ze weten nog niet hoe de heupen van Bowy zijn.
Hij word eerst geopereerd aan zijn poot.
Maar vond de foto wel ernstig hoor!
Zal hem er even bij zetten.

In deze gradatie kan je beter overleggen met je da wat de beste optie is.
Maar zo te zien heeft hij echt veel pijn. En hij is pas een jaar.
Sterkte!

Oei als ik de foto zo zie heeft de hond idd erg veel pijn.
Vraag me af of dit ook met veel medicatie te minderen is althans het is wel te minderen maar of de pijn helemaal weg gaat.
Qua opereren zou voor een second opinion gaan.
Heb te weinig verstand van hd om te weten of een operatie nodig is maar liever 2 die zeggen nee het kan niet dan toch blijven twijfelen.
Heel veel sterkte !

Hallo allemaal,
Bedankt voor jullie reactie's!!
Bianca bedankt voor het plaatsen van de foto,
Jose dit waren inderdaad specialisten uit Utrecht en gezien de ernst van de situatie hebben zij mij het advies gegeven niet meer te operen omdat er ook al artrose aanwezig is en dit de operatie bemoeilijkt en Puk dan toch pijn zal houden.
Helene, je hebt gelijk, alleen hoe bizar ook heb ik in de afgelopen 2 jaar helaas al twee honden moeten laten gaan. Zij zijn 1,5 en 2,5 geworden.Joep en Sam waren half broer en zus en beiden helaas het gen van hun vader mee gekregen waardoor zij beiden DCM hebben gekregen.Puk was ten tijden van de foto's nog een heerlijk enthousiast beestje wat lol had in haar leventje, vandaar dat wij de keus hebben gemaakt (samen met de specialisten en DA) haar zolang als het kan te laten genieten.Achteraf gezien heel egoistisch van mij waarschijnlijk,wilde alleen niet weer mijn maatje verliezen.
Heb ook altijd belooft aan Puk haar geen pijn te laten hebben, maar nu de tijd daar is.....het is zo moeilijk
. Maar een leven met pijn is geen! optie.

Ellen, ik begrijp heel goed hoe moeilijk het is een beslissing te moeten nemen ,maar geef daar echt niet mee aan dat je dat meteen moet doen, maar als er geen andere mogelijkheden meer zijn komt toch dat moment.Vreselijk zoiets te moeten overwegen. En helaas heb je al zo'n pech met twee andere honden gehad, nee, wil het zeker niet egoïstisch noemen het is triest dat je dat nu weer gebeurt.Nogmaals héél veel sterkte.

Bianca toen ik Puk ben gaan halen bij de fokker heb ik alle papieren gezien, ouders HD & ED vrij, pa een ma waren prachtige mooie honden, alles zag er perfect uit. Puk is niet onze eerste hond en dacht ook alles goed te hebben uit gezocht.
Het vermoeden is dat Puk een "Oostblok" hondje is welke zij tussen hun eigen nest hebben geplaatst
.
De Fokker wilde Puk wel omruilen voor een andere pup,...maar ja....ik kon haar toch niet meer afstaan, ze hoorde inmiddels bij ons gezin!!
Achteraf ben ik dus bang dat Puk een broodfok hondje is.

Dan zou ik zsm contact opnemen met de raad van beheer.
Sterkte met deze ontzettend zware beslissing.

allereerst verschikkelijk om mee te maken ,onstekingremmers bij veelvuldig gebruik kunnen je hond sjagerijnig maken
mijn eerste reactie op rontge foto.....sorry maar hij is foutief gemaakt....de hond ligt helemaal scheef....dat kun je zien aan ruggemerg...en bekken
en de achterpoten zijn verschillend van lengte
waardoor je een heel vertekend beeld ziet van de linkerkom
daarmee wil ik niet zeggen dat je hond geen hd heeft....maar misschien een andere gradatie
alle info wat mogelijkheden zijn kun je op de site de rashof.nl zien
ik wens je veel sterkte !!

Probeer eens of een osteopaat kan helpen.
http://www.icreo.com/Nederl/wat-is.htm
Die kunnen iig ook pijn bestrijden op een gezonde manier.

Ellen zou zeker even kijken en lezen op de site van de rashof.
Misschien een overweging om opnieuw een onderzoek te laten verrichten.

veel sterkte en wijsheid met je beslissing!
Ik ben erg geschrokken van die heupfoto!
suc6 ermee

Bedankt voor al jullie lieve reactie's
Mijn lieve meisje had zo veel pijn (zelf door de pijnbestrijding heen) dat we vandaag in samen spraak met de dierenarts de verschrikkelijk moeilijke beslissing hebben moeten nemen om haar uit haar lijden te verlossen, deze enorme pijn heeft mijn lieve schat niet verdient.
Vanmiddag om half drie is Puk overleden
.
Ik zal haar zo verschrikkelijk gaan missen, alleen de gedachten dat zij nu geen pijn meer heeft houdt mij op de been.
Nogmaals bedankt voor al jullie lieve reactie's.
Ellen

Veel sterkte Ellen! Zo ong en aan zo een vreselijke aandoening je schat moeten afgeven...
Mag het een troost zijn dat Puk samen met de andere viervoeters over de regenboogbrug geen pijn meer heeft en geniet van alles!

ach jeetje. Wat een verdrietig nieuws! Maar wat lief van je dat je haar hebt laten gaan!
heel veel sterkte, en rust zacht lieve Puk

Hoi Ellen,
heel veel sterkte gewenst.
Het is nooit leuk om, met wat voor reden dan ook, je maatje te moeten laten gaan!
En op zo'n jonge leeftijd is het zeker hard..
Ik vraag me eigenlijk wel af, hoe dit zo gekomen is..
Haddeen pa en ma ook HD..
Had de fokker de honden wel getest..
De Berner is natuurlijk heel erg gevoelig voor HD maar het kan ook zeker een aantal generaties overslaan en dan heb je gewoon geen geluk, om het zo maar te zeggen en kom je achter dat die aandoening er is..
Je lieve Puk heeft iig geen pijn meer nu.
Nogmaals heel veel sterkte.
heel veel sterkte gewenst, je hebt een goede beslissing gemaakt en gedacht aan jullie hond!

Heel veel sterkte, wat verschrikkelijk om je maatje zo te moeten laten gaan. Ik vind het wel heel knap van je dat je deze beslissing hebt genomen in het belang van je hond.
Verschrikkelijk! Heel veel sterkte!
Dit komt doordat het onderwerp niet meer recent is en in het hondenforum archief terecht ik gekomen.
Als je over "wat nu?" wilt praten in het hondenforum dan kun je het beste een nieuw onderwerp aanmaken
Zoek je iets op de HondenPage ? Vul dan hier jouw zoekwoorden in ?