
Op de hondenshow..
Vandaag was het zover; er werd niet al te ver bij ons vandaan een rasloze hondenshow gehouden en natuurlijk wou ik daar graag naar toe met mijn hondjes
Ik ben erg tevreden over hoe ze het hebben gedaan! Charlie zou eigenlijk met Alexandra de ring in gaan maar op 1 of andere manier liep dat niet helemaal lekker, terwijl ze echt gek is op Alexandra, en na een tijdje heb ik haar overgepakt.
Ze was vrij onrustig, omdat Bruno ook mee was en ze wou bij hem zijn (haar beschermer
). Het zag er dan ook naar uit dat we maar 1 ronde zouden mogen lopen, we kregen ons rapport en een blauw deelname lintje, maar net op het laatste moment bedacht de keurmeester zich en werden we toch geplaats voor de erekeuring! Wat was is trots
In de erering was Charlie nogsteeds vrij onrustig, nu niet omdat ze werd afgeleid door Bruno (die was een rondje gaan lopen met mijn vader) maar omdat ze gewoon moe was. Ik merkte het echt aan haar, het werd gewoon wat teveel. Gewoon heel relaxed de ring in gegaan. Ze liep naar mijn idee echt perfect! En uiteindelijk stond ze ook echt prachtig
Alsnog moesten we als een van de eerste de ring verlaten, maar ik ben kei trots op mijn meissie!

Helaas geen foto's van de keuringen
maar hierbij wel de resultaten uit haar keurrapport!
"Enthousiaste jonge teef, moet nog wat wennen in de ring. In aanzicht recht front. Aflopende toplijn met bijpassende staartaanzet. Iets stijl liggend schouderblad. Borst en elleboog sluiten nog niet helemaal aan. Licht oplopende buiklijn, goede bone en goed gespierd. Achter iets hellend bekken. Mooi gehoekt. Mooi gesloten ovale voeten. Schaar gebit. Mooi hoofd.
Gangwerk sluit goed aan. Is wat onstuimig. Alert gedrag. Goede band met baas."
Dat laatste is natuurlijk het mooiste wat je kunt horen
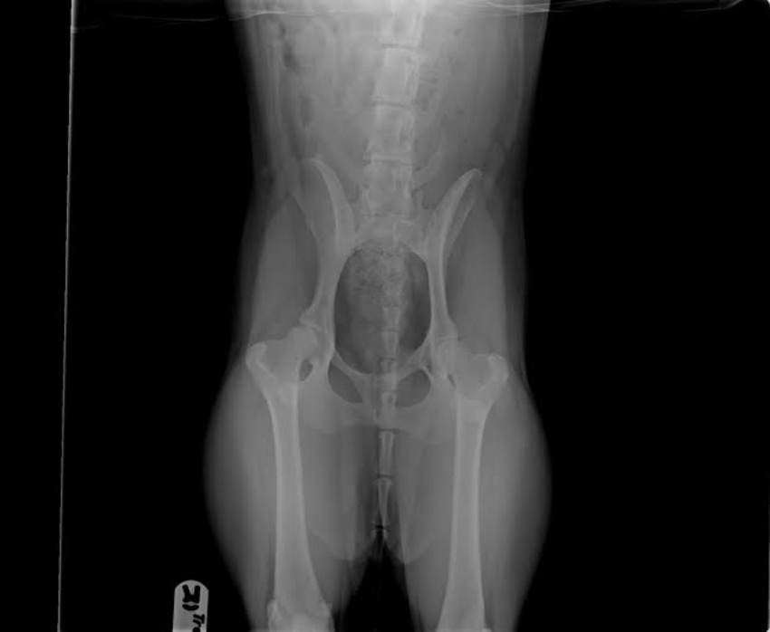
Oh! En bijna vergeten te melden; Charlie is helemaal HD vrij! We moesten het voor de behendigheid laten testen en ben daar toch wel super blij mee natuurlijk
(de foto is niet helemaal recht genomen, omdat ik haar geen roesje wou geven
)


Alweer een tijdje geleden dat ik een update heb gegeven en dat terwijl we toch heel wat mee maken samen!
Vakantie






De eerste week van de zomervakantie zijn wij heerlijk op vakantie geweest, samen met Lisa en de hondjes Bobbie en Bentley. We waren bij mijn oma in het tuinhuisje, met het strand als 'onze achtertuin' en mooie wandelroutes vanaf de deur
Charlie heeft zich heel goed gedragen en enorm genoten! Net als Bruno, natuurlijk
Ook heeft ze bewezen dat het jacht instinct er goed inzit, ze heeft namelijk haar eerste haasje gevangen
en meteen was het duidelijk waarom ze niet bij mijn konijnen in de buurt mag komen haha.
Agility training
We hadden door de vakantie al 3 weken niet kunnen trainen en die week dat we eindelijk weer konden, besloot madame om loops te worden..
De dag daarop was er echter geen druppeltje bloed meer te bekennen en ook de dagen volgend bleef het broekje helemaal schoon. We waren erin getrapt! En zo ontstond het grapje dat ze op haar baasje lijkt en geen zin had in 'school'
Dinsdag 2 Augustus konden we dus eindelijk weer trainen en dat ging echt heel goed! Ze moest weer even inkomen en het duurde even voordat ik de aan-knop van haar oren had gevonden, maar zodra ik die om had gezet ging het super!
We liepen een mini parcoursje, bestaande uit; hoogtesprong, tunnel, hoogtesprong, tunnel, hoogtesprong.
Charlie moest starten aan de rechterkant omdat ik dan de binnenbocht van de tunnel kon nemen, de andere tunnel lag echter in de andere richting dus als ik haar rechts bleef sturen moest ik daarbij de buitenbocht nemen. We maakten dus tussen de eerste tunnel en tweede hoogtesprong een prachtige wissel
Logeren
Sinds dat mijn ouders uit elkaar zijn gegaan, logeren wij om de week een weekend bij mijn vader die tijdelijk op een vakantiepark verblijft. De honden neem ik natuurlijk altijd met mij mee. Het is heel mooi daar; we lopen het park af, steken een weg over, een paar meter fietspad en we lopen een heel groot (losloop)wandelgebied in!

Vandaag...
...heb ik een wereldreisje gemaakt van koppie Noord Holland naar Brabant
om een step op te pikken die ik van iemand kon overnemen via Facebook!
De heenreis ging prima, het was wel wat druk en ik hoopte dat het minder zal worden omdat met een step reizen in de drukte iets was wat me niet heel relaxed leek
Helaas was mijn hoop tevergeefs en stond ik een uur lang tussen warme mensen gedrukt, mijn stepje beschermend haha.. (altijd fijn, die mensen die op de plaats voor de fietsen enz. gaan staan.. en dan gaan zeiken over dat IK in de weg sta).
Afijn! Het was helemaal de moeite waard! Hij stept heerlijk, en dat hebben we vanavond mooi getest door wat kilometers te maken samen. De honden waren beiden mee en renden los voor me uit. Even was ik Charlie kwijt door de vele konijnen (zelfs ik zag ze wegrennen haha). Gelukkig was ze snel weer terecht
Naast al dit nieuws, word Charlie over 3,5 week alweer 2 jaar! Wat vliegt de tijd toch voorbij.. ![]()

3 doggies 
en nog meer nieuws!! Ik heb de vader van Charlie en mijn Indie opgespoord in Frankrijk en dat was echt heel gaaf dat het gelukt is. Ik bedoel, zoek maar eens zonder gegevens naar een border collie in een frans bergdorpje maar het is dus gelukt!! En Charlie is precies haar papa kunnen we concluderen. Misschien lukt het Angelique om een foto van hem te plaatsen? dan kunnen jullie het ook zien!!

Er was zoveel nieuws, dat ik dit helemaal vergeten was :O
Ik ga vanavond even de foto's uploaden! :)
Nogmaals echt heeeel gaaf dat ie gevonden is!
3 doggies 
Ja he!! Maar Charlie lijkt zo op hem dat het leuk is te laten zien denk ik!! Je update is super leuk trouwens!
3 doggies 
Wat leuk!
3 doggies 
Leuk!
Hoe?
3 doggies 
Ik was op vakantie in frankrijk 2 weken geleden en ineens vanachter mijn wijntje dacht ik: Stel nou eens dat we in de buurt zitten bij waar de moederhond ,per ongeluk, gedekt is 2 jaar geleden.
Even voor het verhaal: moeder husky met haar Nederlands gezin op vakantie in Frankrijk, moeder husky ineens loops en smeert m. Gezin was uit eten toen dat gebeurde, kwam terug bij vakantiehuis, onderweg rijden ze bijna een soort border collie aan. gelukkig niks aan de hand dus komen bij vakantiehuis en husky zoek. Uiteindelijk kwam ze terug en zoveel weken later...puppies. Meteen wist het gezin, dat moet van die border collie zijn die we tegenkwamen.
Enfin, daar moest ik dus aan denken dus ik app het gezin waar Charlie en mijn Indie vandaan komen met de vraag waar zij 2 jaar geleden op vakantie waren. Wisten ze niet precies meer, alleen naam van het vakantiehuis en een dorpje in de buurt. Meer wisten ze niet. Dus ik google de google en vindt (hoopte ik) dat vakantiehuis. Was op anderhalf uur rijden vanaf waar we op vakantie waren. Dus wij de dag erop op de gok naar dat dorp en rond gaan vragen waar dat vakantiehuis lag ( geen adres had ik gevonden alleen een streek) Niet te vinden... Uiteindelijk belde iemand met iemand die het misschien wist en na een lange auto zoektocht met diegene door de bossen kwamen we bij het vakantiehuis ( dit is de verkorte versie van het verhaal haha) Daar bleken de nederlandse eigenaren van dat huis net aan het schoonmaken. Wij leggen verhaal uit en die man zegt: Ja dat was hier, ik weet het nog van die husky!
Maar een border collie in de buurt, nee dat wist hij niet. De mevrouw die met ons mee was om te zoeken ( super lief mens wat gewoon bleef helpen zoeken) zei dat ze wel een huis wist met een grote zwarte hond, misschien was die het?? Wij erheen maar dat was een rottweiler :-) Die eigenaar zei: Er woont wel in het straatje naast het kerkje een border collie volgens mij. We besloten dit dan nog te onderzoeken maar als het niets was zouden we stoppen want we waren al 4 uur bezig ( exclusief reistijd haha)
Wij erheen, trapje op en we konden in de tuin kijken. Daar zaten 2 jongemannen met een wijntje en....een border collie. En meteen zagen we gewoon, dit is m!
Dus wij die tuin in, die 2 jongemannen zaten verbaasd te kijken, ineens 3 hollanders in de tuin naar die hond. Gelukkig spark 1 van de twee mannen engels en wij leggen alles uit. Nou zegt die jongen, dit is Bivak en hij is 10 jaar en staat bekend om zijn schuinsmarcheerders praktijken dus het zou kunnen. Ik foto's laten zien van zijn nakomelingen want vooral Charlie lijkt er sprekend op ( Indie vooral qua doen en laten) en ik zei voor de grap dat we geld wilden voor de opvoeding. We kregen meteen wijntje aangeboden en verhalen uitgewisseld. Veel foto's en filmpjes gemaakt en aan ons nest ge-appt ( we hebben op 1 na met iedereen contact van de broertjes en zusjes en moeder hond) En de eigenaar van de moederhond appte meteen: Dat is 'm!! Dat is de hond die we bijna aan hebben gereden. Dus het moet hem echt zijn!
verhaal he !!! Hoop dat Angelique lukt om foto's te plaatsen (mij lukt het steeds niet grrrr) Dan kan je het zien! Het is echt bijna een wonder dat het gelukt is m te vinden, heel blij dat ik m'n gevoel heb gevolgd.

Hoera! 2 jaar oud geworden vandaag!
Vandaag is mijn 'kleine' dame haar tweede verjaardag alweer!
Wat vliegt de tijd..
Toen ik in 2014 ging kijken voor een tweede hondje, had ik me niets beters kunnen wensen dan dit meisje..
Ik ben toch zo trots op wat wij samen bereikt hebben, vooral na al het kritiek dat ik eerst op haar (vooral op betrekking tot haar kruising) heb gekregen. Al die mensen hebben wij toch maar mooi het ongelijk bewezen!
Charlie is uitgegroeid tot een hondje met een prachtig karakter, en een evenzo prachtig uiterlijk
Ik hoop dat ze nog vele jaren bij mij mag blijven!



3 doggies 
gefeliciteerd! Mooi geschreven en helemaal mee eens.
pootje van haar jarige broertje die ook uitgegroeid is tot mijn allerbeste vriendje!
Zoek je iets op de HondenPage ? Vul dan hier jouw zoekwoorden in ?