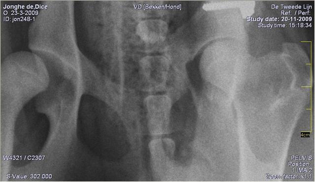
Controle foto van vorige week hier is erg goed te zien dat de op de foto de rechter kant er erg mooi in zit. en dat de andere kant er gewoon uithangt je kunt het ook horen als je wandeld want dan schuift hij met zn nagels over de grond als hij een stap zet, dan ligt de heup eruit. van cindy
Honden foto's
> cindy
> Controle foto van vorige week hier is erg goed te zien dat de op de foto de rechter kant er erg mooi in zit. en dat de andere kant er gewoon uithangt je kunt het ook horen als je wandeld want dan schuift hij met zn nagels over de grond als hij een stap zet, dan ligt de heup eruit.
Krabbels